Sepsis is one of the leading causes in death. This lecture overviews the pathophysiology and how it relates to the newer changes in guidelines. We review fluids, antibiotic choices, as well as other adjunct end organ care supportive care measures for inpatient settings. We also talk about the new 2026 Surviving Sepsis Guidelines.
Read MoreRespiratory failure is a high-risk condition signaling potential end organ damage. This February 2026 Acute Care Series lecture reviewed the physiology, diagnostic approach, and practical management of hypoxemic and hypercapnic respiratory failure, including oxygen strategies, noninvasive ventilation, and mechanical ventilation decision-making.
Read MoreAltered mental status is a high-risk presentation that often reflects serious underlying illness and end-organ dysfunction. This January 2026 training reviewed a systematic approach to evaluation, emphasizing early recognition of life-threatening causes, focused diagnostics, and practical management strategies in acute and emergency care settings.
Read MoreAbdominal pain is one of the most diagnostically challenging complaints in acute care, with a wide differential that includes life-threatening conditions. This post presents a systematic approach to history, exam, labs, and imaging, emphasizing when to escalate care and avoid premature diagnostic closure. Essential reading for clinicians managing undifferentiated abdominal pain.
Read MoreEffective pain management in acute care requires balancing timely relief with patient safety and clinical judgment. This post reviews evidence-based strategies for assessing pain, selecting appropriate analgesics, and using multimodal approaches to improve outcomes while minimizing harm. A practical guide for managing pain in high-acuity settings.
Read MoreTraumatic brain injury is a time-sensitive emergency where early recognition and intervention can dramatically affect outcomes. This post outlines a structured approach to TBI assessment, imaging decisions, and early management, with a focus on preventing secondary brain injury. Relevant for both adult and pediatric emergency care.
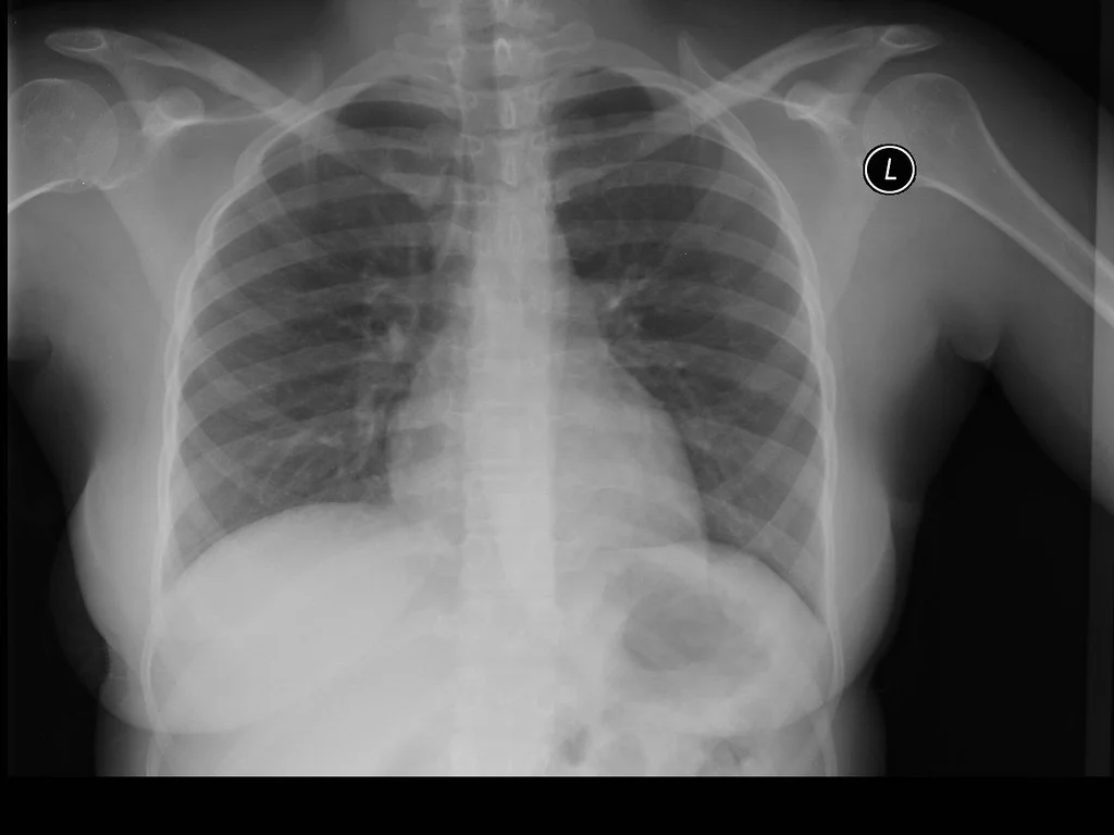
Read MoreChest imaging is a cornerstone of emergency and acute care decision-making, but its value depends on using the right modality at the right time. This post explores a practical approach to chest X-ray, ultrasound, and CT, highlighting indications, limitations, and common diagnostic pitfalls. Designed for clinicians working in fast-paced, high-risk environments.
Read More